黄灿华教授 实验室

【JEV】细胞外囊泡研究简史

在细胞外囊泡发现75周年纪念之际,来自牛津大学等多位领域专家在《Journal of Extracellular Vesicles》撰写细胞外囊泡简史,指出细胞外囊泡研究发展历程以及当前急需解决的问题。


图片


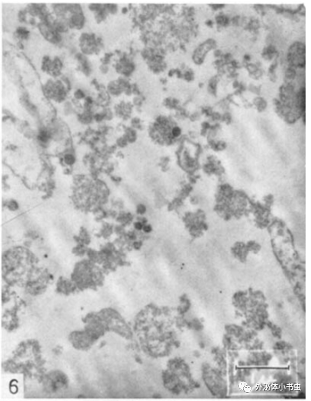
第一次发现细胞外囊泡是在19世纪40年代,由美国生物化学家埃尔文·查戈夫(Erwin Chargaff)和医生兰道夫·韦斯特(Randolph West)在寻找凝血因子的过程中,发现一种高速离心后的血液沉淀具有显著凝血功能,二人认为这种沉淀物中除了包含凝血因子,还存在血细胞碎片,这些细胞碎片后来被认为就是细胞外囊泡。在1967年,英国伯明翰大学彼得·沃夫(Peter Wolf)通过电镜获得世界上第一张血小板来源外囊泡照片(见下图)。


图片


在1974年,美国康奈尔大学医学院迈克尔·D·格申(Michael D. Gershon)研究蝙蝠甲状腺,首次提出多囊泡体的概念,并且认为细胞外囊泡是由多囊泡体与细胞膜融合后,释放到细胞外的,这也是目前认为典型的外泌体生成途径,下图展示多囊泡体(MB)与细胞外囊泡(V)电镜图。


图片


在1950至1970年间,科学家在寻找病毒引发癌症的证据,此过程中发现人体液来源“病毒样”囊泡,后来证明这些囊泡与病毒无关,然后人们发现细胞外囊泡并非人体独有,在藻类、酵母和大肠杆菌中相继发现细胞外囊泡的存在。下图展示外泌体(exosomes)和微囊泡(microvesicles)的典型生成途径。


图片


在19世纪80年代早期是细胞外囊泡研究的爆发时期,这时关于外泌体的命名与生成路径讨论最多,美国华盛顿大学医学院克里夫·哈定(Cliff Harding)在研究网织红细胞成熟过程中,发现外泌体是由多囊泡体与细胞膜融合后释放(见下图),加拿大麦吉尔大学罗斯·约翰斯顿(Rose M. Johnstone)将这种生成途径产生的外囊泡定义为外泌体(exosome),并且认为外泌体只是一种“垃圾桶”,在网织红细胞成熟过程,将不需要的转铁蛋白受体运输到胞外。


图片


但是后续很快就发现外泌体功能不局限于此,例如外泌体存在酶活性,阻断细胞裂解,促进血液凝结和抗原递呈等活性,而且细菌来源外泌体和人肠道细胞存在相互作用。其中最具有里程碑意义的外泌体活性就是抗肿瘤,树突状细胞来源外泌体装载癌细胞抗原,可以用来根除肿瘤,并且进行了临床实验,由此吸引了广泛的注意并且引发外泌体研究的热潮。


在21世纪初,关于细胞外囊泡的论文、专利和基金资助数量暴涨,但是随之而来的就是命名问题,细胞外囊泡没有统一规范的命名方式,例如微颗粒(microparticles)与很多领域专有名词重叠,导致论文检索困难。在2018年,国际细胞外囊泡研究协会(ISEV)提出对外囊泡命名规范化建议,根据囊泡生成途径进行命名,但是外泌体(exosome)至今仍然也是一种RNA后期加工处理蛋白的专有名词,容易造成含义混乱。


下图是关于细胞外囊泡研究的里程碑:


图片


  • 1946年,Chargaff和West,发现一种细胞外囊泡促进凝血。

  • 1967年,Wolf,获得第一张细胞外囊泡电镜照片。

  • 1974年,Nunez,拍摄到细胞外囊泡通过多囊泡体与细胞膜融合并释放的电镜照片。

  • 1983年,Stahl和Johnstone实验室,提出外泌体是从经由多囊泡体与细胞膜融合并释放至胞外的外囊泡。

  • 1996年,Raposo,证明细胞外囊泡具有生物学活性。

  • 2006年-2008年,Ratajczak、Valadi和Skog等人,外泌体可以递送具有生物学功能的RNA。


目前细胞外囊泡研究最大的挑战就是实验重复性问题,因为不同实验室的外泌体纯化方法不同,导致关于外泌体活性实验结果没有可比性,尤其是外泌体领域竞争激烈导致问题更加严重。


细胞外囊泡研究技术层面上的问题之一是无法同时做到高产量、高纯度和短时间,其次就是外泌体表征方法需要提升,尤其是单外泌体表征方法,最后就是体内表征外泌体方法的创建。


细胞外囊泡生物学研究层面上的问题之一是缺乏某种单一组分的标志物,例如外泌体纯化过程往往混杂其他囊泡组分,使可靠的标志物研究变得困难,问题之二是细胞外囊泡被吞噬机理的研究,例如外泌体被摄取之后一般直接进入溶酶体被降解,而通过对外泌体载药递送方式的研究,可以更好改造外泌体作为药物递送平台。

转载自微信公众号:外泌体小书虫